Sorrisi prima e dopo a Vicenza: i casi clinici di SBM Studio Dentistico
Vuoi vedere i risultati dei nostri pazienti? Guarda i sorrisi prima e dopo a Vicenza!
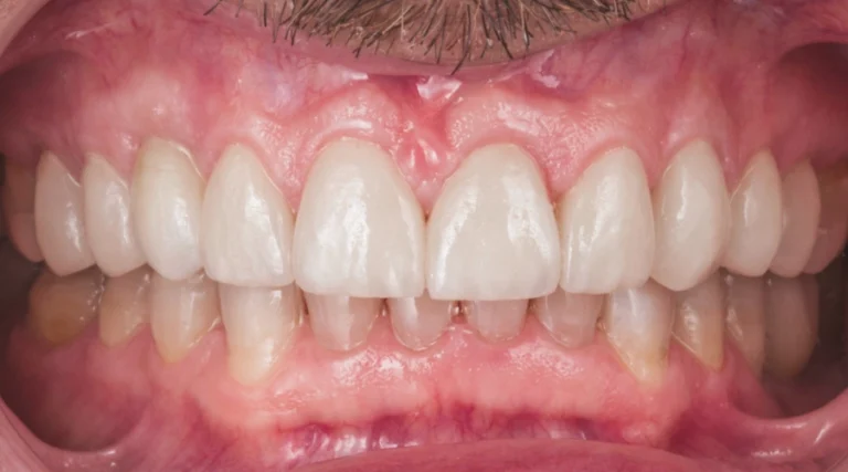
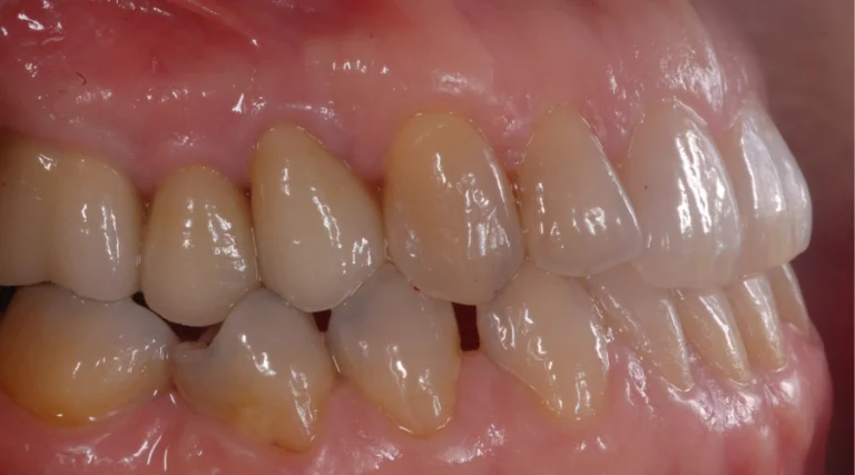
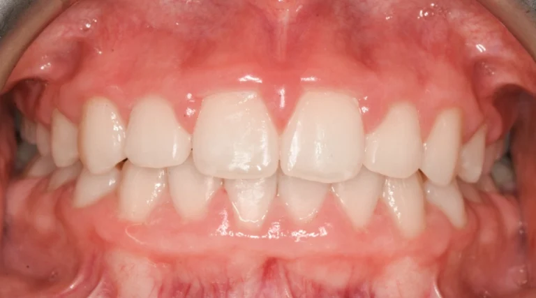
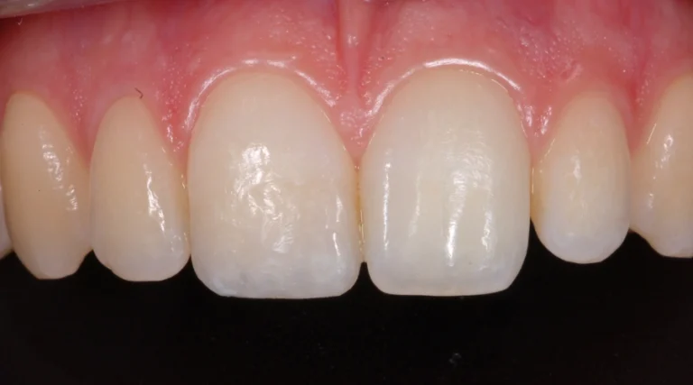
Faccette dentali

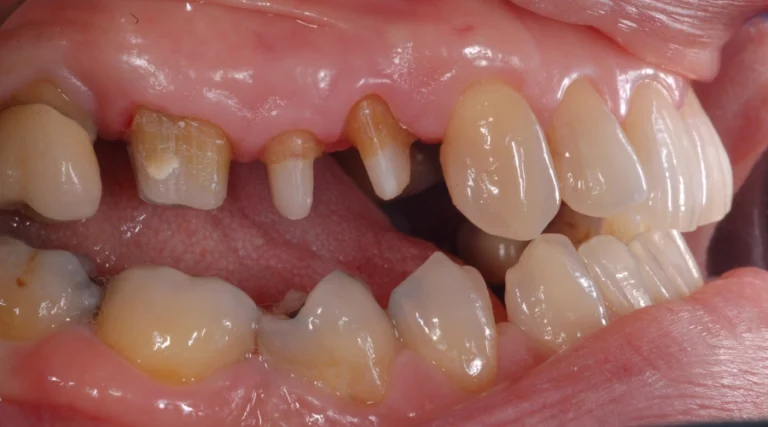
Impianto dentale

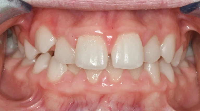
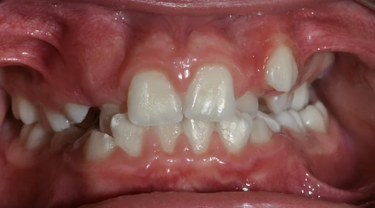
Ortodonzia

Ortodonzia

Otturazione

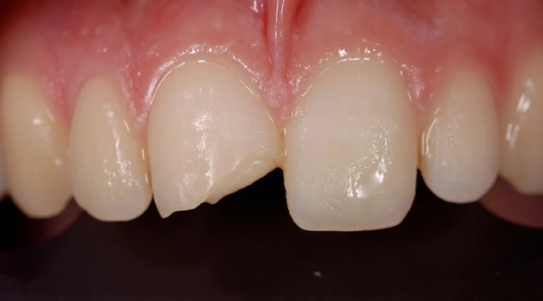
Ricostruzioni estetiche

Rimozione amalgama

Un team di professionisti che unisce esperienza, tecnologia e prevenzione per prendersi cura della salute orale con attenzione, metodo e continuità .

Da oltre trent’anni lo studio costruisce esperienza clinica e fiducia, unendo tradizione odontoiatrica, aggiornamento costante e attenzione autentica alle persone.

Un team di professionisti collabora tra diverse discipline per studiare ogni caso nel suo insieme e progettare percorsi di cura personalizzati.

Tecnologie digitali, formazione costante e aggiornamento clinico permettono allo studio di migliorare continuamente diagnosi, trattamenti e qualità dell’esperienza del paziente.

La salute orale è collegata al benessere generale: prevenzione, cura e mantenimento lavorano insieme per proteggere equilibrio, funzionalità e qualità della vita.
Da Altavilla - Da ovest
Procedi lungo la SS11 verso Vicenza. Una volta raggiunta la zona di Viale San Lazzaro, segui le indicazioni per Ponte Alto e imbocca Via Vecchia Ferriera.
Da Torri di Quartesolo - Da est
Procedi lungo la SS11 verso Vicenza. Una volta raggiunta la zona di Viale San Lazzaro, segui le indicazioni per Ponte Alto e imbocca Via Vecchia Ferriera.
Da Padova
Prendi un treno regionale in direzione Verona e scendi alla stazione di Vicenza. Dalla stazione puoi raggiungere lo studio in taxi o autobus in pochi minuti.
Da Verona
Prendi un treno regionale in direzione Vicenza e scendi alla stazione ferroviaria di Vicenza. Da qui puoi proseguire in taxi, autobus oppure con un breve tragitto in auto.
Da Vicenza centro
Dalla stazione o dal centro città prendi una linea urbana diretta verso la zona di Viale San Lazzaro o Ponte Alto. Le fermate più comode sono Ponte Alto e S.S. 11, a circa 2–4 minuti a piedi dallo studio. Le linee urbane che risultano passare in zona includono 1, 12/14, 14, 5; quindi puoi arrivare sia dal centro/stazione sia dall’area ovest della città con collegamenti frequenti verso Viale San Lazzaro e Ponte Alto.
Da Creazzo, Altavilla, Montecchio
Le linee extraurbane e urbane collegano i comuni limitrofi con la zona di Viale San Lazzaro. Le fermate più comode sono Ponte Alto e S.S. 11, a circa 2–4 minuti a piedi dallo studio. Le linee che risultano passare in zona includono 1, 12/14, 14, 5, E01, E02, E29, E31; quindi puoi arrivare sia dal centro/stazione sia dall’area ovest della città con collegamenti frequenti verso Viale San Lazzaro e Ponte Alto.
Dove Parcheggiare
SBM Studio Dentistico si trova in Via Vecchia Ferriera 18, in una zona facilmente accessibile della città . Per i pazienti è disponibile un ampio parcheggio esterno e sotterraneo, che permette di raggiungere lo studio con comodità anche negli orari più frequentati.
La posizione vicino a Viale San Lazzaro e alla zona di Ponte Alto rende l’arrivo semplice sia dal centro di Vicenza sia dai comuni limitrofi. Una volta arrivati in Via Vecchia Ferriera, troverai indicazioni chiare per accedere all’area parcheggio e raggiungere l’ingresso dello studio in pochi passi.
SBM Studio Dentistico è facilmente raggiungibile dai principali comuni vicini a Vicenza.
- Da Creazzo: il percorso più veloce passa da Via A. De Gasperi e Strada della Carpaneda: si prosegue verso Via Don Giovanni Minzoni, poi Via Piazzon, si imbocca Strada della Carpaneda e infine si svolta in Via Vecchia Ferriera.
- Da Altavilla Vicentina: si arriva tramite Via Altavilla / SP34, proseguendo poi su Via Olmo e sulla Strada Padana verso Verona / SR11 fino a Via Vecchia Ferriera.
- Da Montecchio Maggiore: il tragitto più diretto segue Viale Trieste / SR11 e poi la SR11 in direzione Vicenza.
- Da Torri di Quartesolo: il percorso consigliato passa dalla Tangenziale Sud / Viale Annecy, con arrivo diretto in Via Vecchia Ferriera.
- Da Costabissara: il tragitto più rapido segue la SP40 e la Bretella dell’Albera / SP46 fino a Vicenza, con accesso finale in Via Vecchia Ferriera.













